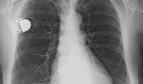
Verträgt sich das iPhone 12 mit Herzschrittmachern oder nicht? Anfang 2021 machte eine Studie, die im Heart Rhythm Journal erschien, vielen Nutzer:innen Angst. Darin hieß es, dass die Magnete im Rücken des iPhone 12 und seiner Varianten (MagSafe) Herzschrittmacher und implantierte Defibrillatoren deaktivieren könnte. Das wäre für die Patient:innen lebensbedrohlich. Apple hat empfohlen, die Geräte nicht direkt über den Implantaten zu tragen.
Mehr Apple-Wissen für dich.
Mac Life+ ist die digitale Abo-Flatrate mit exklusiven, unabhängigen Tests, Tipps und Ratgebern für alle Apple-Anwenderinnen und Anwender - ganz egal ob neu mit dabei oder Profi!
Mac Life+ beinhaltet
- Zugriff auf alle Online-Inhalte von Mac Life+
- alle digitalen Ausgaben der Mac Life, unserer Sonderhefte und Fachbücher im Zugriff
- exklusive Tests, Artikel und Hintergründe vorab lesen
- maclife.de ohne Werbebanner lesen
- Satte Rabatte: Mac, iPhone und iPad sowie Zubehör bis zu 15 Prozent günstiger kaufen!
✔ SOFORT gratis und ohne Risiko testen: Der erste Monat ist kostenlos, danach nur 6,99 Euro/Monat.
✔ Im Jahresabo noch günstiger! Wenn du direkt für ein ganzes Jahr abonnierst, bezahlst du sogar nur 4,99 Euro pro Monat.
In seinem Support-Dokument schreibt Apple, dass Magnete im iPhone 12 und MagSafe-Zubehör „medizinische Geräte stören können“.
Das reichte der für Medizinprodukte zuständigen US-Behörde Food and Drug Administration (FDA) nicht, die das Thema untersuchte und nun zu einem Schluss gekommen ist.
Die FDA hat ihre eigenen Tests durchgeführt und bestätigt frühere Studien. Eine Entwarnung sieht anders aus. Dennoch heißt es im offiziellen Schreiben der FDA, das Risiko für Patient:innen sei gering.
Die Sicherheitshinweise sind aber leicht einzuhalten: Die Geräte sollten in einem Mindestabstand von 15 Zentimetern zum Implantat am Körper getragen werden. In Zukunft könnten immer mehr Geräte mit entsprechenden Funktionen in Umlauf kommen, warnt die Behörde. Träger:innen von Implantaten sollten also etwas Vorsicht walten lassen, wo sie die Geräte am Körper beziehungsweise in der Kleidung tragen. Wir leiten für uns daraus den Schluss ab, dass es besser ist, die Smartphones wie üblich in der Hosentasche oder der Jackentasche zu transportieren aber nicht in Brusttaschen. Natürlich gibt es auch Implantate, die an anderen Stellen getragen werden – wie zum Beispiel Insulinpumpen. Dazu gibt es von der FDA aber keine Hinweise.
- Test: Das sind die besten Mäuse für den Mac - Spoiler: Es ist nicht die Magic Mouse
- Telefonieren mit dem Mac: Dank Gratis-App in Minutenschnelle möglich
- Ausprobiert: Chromebook statt MacBook Pro – wie gut sind die „Google-Notebooks“?
- Apple Watch SE im Test: Von der Kunst des Weglassens – wer braucht überhaupt die teurere Series 6?

Apple AirPods Max - Space Grau








